Sonríe con seguridad en nuestro consultorio dental especialista en odontopediatría y ortodoncia en Ciudad Juárez, Chihuahua

En C Dental somos expertos en blanqueamiento e implantes dentales
Cuando necesites consultar a los mejores dentistas en Ciudad Juárez, visita C Dental, donde tendrás uno de los servicios de odontología más completos.
Nuestros dentistas se encargarán de devolverte la frescura y estética a tus dientes, a través de un diagnóstico preciso.

Con más de 12 años de experiencia, nuestra clínica de odontología cuenta con especialistas que trabajan con tecnología de punta, para que tu sonrisa luzca radiante mediante un método mínimamente invasivo.

Asistir a un consultorio dental con regularidad es muy importante ya que incluso con los cepillos y el hilo dental más diligentes, todavía hay pequeñas áreas en la boca que se pasan por alto. Cuando la placa se acumula, se hace más difícil eliminarla se solidifica y se convertirá en sarro, lo cual es extremadamente difícil de eliminar sin ayuda profesional.
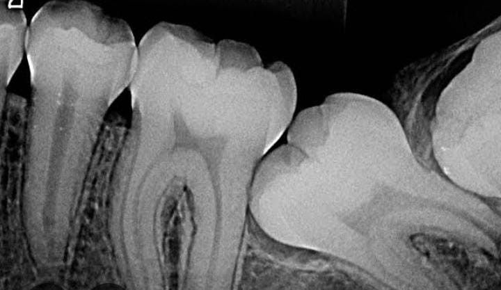
La acumulación de placa y sarro no solo causa caries, sino que también puede erosionar los tejidos de las encías de la boca. Una parte crucial de visitar al dentista cada seis meses es la radiografía de los dientes y la mandíbula. Las imágenes de rayos X permiten a los profesionales dentales ver lo que sucede debajo de las superficies de la boca y pueden encontrar y diagnosticar problemas que pueden ser invisibles a simple vista.
Colocamos implantes dentales de última generación, coronas de zirconia, tratamientos estéticos, prótesis dentales, entre otros.
Todos nuestros especialistas están certificados y actualizados para brindar el mejor servicio.
En nuestro consultorio realizamos tratamientos de ortodoncia, endodoncia, periodoncia, odontopediatría, cirugía bucal y odontología estética.
Ten la seguridad de que serás atendido por los mejores dentistas en Ciudad Juárez.
Llama y programa una cita, comprueba que nuestros servicios y resultados son efectivos a precios competitivos. Logra una mejor sonrisa que se convertirá en tu mejor carta de presentación.
La acumulación de placa y sarro no solo causa caries, sino que también puede erosionar los tejidos de las encías de la boca. Una parte crucial de visitar al dentista cada seis meses es la radiografía de los dientes y la mandíbula. Las imágenes de rayos X permiten a los profesionales dentales ver lo que sucede debajo de las superficies de la boca y pueden encontrar y diagnosticar problemas que pueden ser invisibles a simple vista.
Colocamos implantes dentales de última generación, coronas de zirconia, tratamientos estéticos, prótesis dentales, entre otros.
Todos nuestros especialistas están certificados y actualizados para brindar el mejor servicio.
En nuestro consultorio realizamos tratamientos de ortodoncia, endodoncia, periodoncia, odontopediatría, cirugía bucal y odontología estética.
Ten la seguridad de que serás atendido por los mejores dentistas en Ciudad Juárez.
Llama y programa una cita, comprueba que nuestros servicios y resultados son efectivos a precios competitivos. Logra una mejor sonrisa que se convertirá en tu mejor carta de presentación.
Cuida la salud bucal de tus hijos con nuestros especialistas en odontopediatría
La odontopediatría u odontología pediátrica es la especialidad donde nos encargamos de la salud bucal de niños y adolescentes.
Este tipo de especialidad odontológica es tan importante como la de médicos que colocan brackets, debido a que se tratan anomalías, se protege y previene a los infantes y jovencitos de posibles afecciones o enfermedades de la boca y dentadura.
Aplicamos tratamientos distintos a los que se someten los adultos, debido a que los dientes en edad de crecimiento son más sensibles.
En C Dental recomendamos a los padres que traigan a sus hijos desde que tienen su primera dentadura completa, para monitorear el desarrollo de sus dientes y tener un expediente para facilitar cualquier tratamiento.
Hemos comprobado que gran cantidad de niños menores a los cuatro años presentan caries, así como dolencias, deformaciones o infecciones en su dentadura o boca.
No esperes a que tu hijo padezca una enfermedad dental, lo mejor es la prevención con nuestro servicio de odontopediatría, para que el pequeño tenga la dentadura limpia, fresca y con la máxima higiene.


Recupera tu sonrisa con nuestros implantes dentales de primer nivel
En C Dental realizamos implantes dentales, con uno de los procedimientos más avanzados, donde por medio de una cirugía, una pieza elaborada de titanio se coloca como una raíz, la cual servirá de soporte para reemplazar un diente.
Una de sus grandes ventajas de este implante es que no se sujeta de otros dientes, ya que la raíz es colocada en la mandíbula.
Los implantes dentales están diseñados para verse, sentirse y funcionar como tus dientes naturales. Por eso, podrás comer y sonreír con total confianza. Con el cuidado y mantenimiento adecuados, los implantes duran tanto como las restauraciones convencionales en los dientes.
Los implantes dentales están anclados en el hueso de la mandíbula al igual que los dientes naturales. Lo que ayuda a preservar el hueso de la mandíbula, para que en durante la vejez tengas estos huesos sanos.
Debido a todas estas ventajas, los implantes dentales proporcionan un excelente valor a largo plazo y pueden ser una excelente inversión en salud bucal a largo plazo.
Lucirás una gran sonrisa, como si tu diente o dentadura fuera real, nadie lo notará




Eliminamos por completo el dolor
En C Dental cuando se trata de pacientes con problemas en la dentadura, que necesitan de tratamientos de endodoncia, el cual consiste en la extracción de la pulpa dental y el relleno, para después sellar la cavidad con material inerte.
Este tratamiento lo usamos para algunas piezas dentales, las cuales presenten problemas de caries severas o muy profundas; ya que se dañan los nervios del diente, provocando mucho dolor e inflamación.
Contamos con el tratamiento necesario para el control de la dentadura y padecimiento de caries. En C Dental hacemos que tu sonrisa vuelva a ser la de antes. Además, te ayudamos a eliminar el dolor por completo.
Después de este procedimiento, se recomienda someterse a un tratamiento de endodoncia para cubrir o colocar una corona de porcelana, la cual fortalecerá el diente.
Tratamiento especializado y profesional
Recomendamos las coronas de porcelana sin metal a pacientes que se han sometido a tratamientos muy profundos de endodoncia, ya que con este tipo de procedimiento se desgasta mucho los molares o dientes.
Las coronas de porcelana sin metal son menos resistentes comparado con los metálicos, sin embargo, se adaptan muy bien al color de tus dientes. Además, muchos dentistas prefieren utilizar porcelana sin metal, ya que no se presentan problemas de alergia.
En C Dental contamos con los mejores dentistas especialistas en este tipo de tratamiento, te sentirás muy seguro y cuidado. Llámanos y agenda una cita con nosotros.






Agenda una cita con nuestros dentistas especialistas
Te recomendamos agendar tu cita a través de este sitio ADN, para que conozcas todos los servicios que ofrecemos, además te ayudará a comprender con qué especialista acudir en nuestro consultorio.
Contamos con diferentes dentistas especialistas en:
●Endodoncia
●Periodoncia
●Ortodoncia
●Rehabilitación bucal
●Odontopediatría
●Cirugía bucal
●Odontología estética
●Cirugía maxilofacial
●Cosmetología dental
●Implantología
Es necesario que hagas tu cita, para que nuestro equipo de dentistas te ayude con cualquier problema dental.
Hacemos tratamientos con coronas de porcelana sin metal
●Blanqueamiento dental
●Coronas de porcelana sin metal
●Dentaduras flexibles
●Dentista para niños
●Endodoncia
●Endodoncia avanzada
●Extracción de muelas
●Frenos
●Implantes dentales
●Muelas del juicio
●Odontología estética e integral
●Odontología mínima invasiva
●Odontología preventiva
●Odontopediatría
●Periodoncia
●Placas
●Prótesis bucal
●Prótesis fija y removible
●Puentes dentales
●Rehabilitación oral
Contáctenos
Le responderemos tan pronto como sea posible.
Inténtelo de nuevo más tarde.
Programa tu cita en nuestro consultorio dental ¡Cuida tus dientes, ellos son para siempre!
En C Dental siempre encontrarás un dentista que te atienda de forma educada, agradable y te dé la información que requieras. Estamos ubicados cerca de ti.
av. paseo de la victoria 2736 1 jardines del bosque, ciudad juarez, chihuahua 32539
Horario de Trabajo
- Lun - Vie
- -
- Sábado
- -
- Domingo
- Cerrado
Aceptamos las siguientes formas de pago:
AMEX
Cheque
Depósito
Efectivo
Mastercard
Paypal
Transferencia
Vales
Visa
Tarjeta de Crédito
Tarjeta de Débito
Oxxo
SPEI
Claro pay
Samsung pay
CoDi
Apple pay
Baz
Mercado pago
Seven Eleven
Carnet






